Parasitism
Parasites may infest the skin, digestive tract, heart, and other internal organs of birds, marine mammals, and sea turtles. Animals normally contract parasites by feeding on other animals that carry them. Parasite infestations may make an animal ill and weak, and occasionally result in the animal's death.
Internally, tapeworms, flatworms, and roundworms are common parasites of marine mammals, turtles, and birds.
Externally, lice, ticks, and mites live on a bird's skin and feathers. Barnacles may encrust whales, manatees, and sea turtles. And whales can be infested with whale "lice" (actually a type of crustacean).
Parasites that typically affect marine mammals include tapeworms, flukes, roundworms, lice, and barnacles.
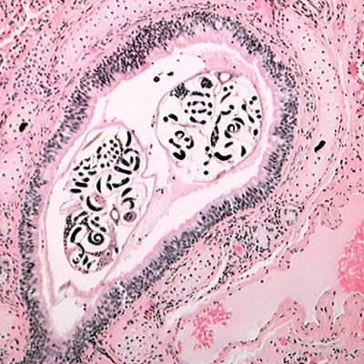
Two of the most common parasites of the California sea lion are roundworms, Anisakis spp. (found in the stomach), and the lungworm, Parafilaroides decorus. The lungworm lives in lung tissue, where it can make breathing difficult for its host. It develops gradually and is well established before the infestation becomes apparent. Affected individuals may become susceptible to pneumonia. Parasite infestations alone seldom debilitate otherwise healthy pinnipeds. They may harm the animals if they are weakened by other health conditions.

Microscope image of lungworm parasites that infect California sea lions
Diseases
Marine animals are susceptible to a variety of viral, bacterial, and fungal infections. Marine mammals may develop stomach ulcers, skin diseases, hepatitis, cancer, tuberculosis, and respiratory disorders such as pneumonia.
Worldwide, hundreds of marine mammals have stranded following outbreaks of morbillivirus.
Morbilliviruses are a group of viruses that include human measles and canine distemper. Related morbilliviruses have caused massive outbreaks and strandings in some seal and dolphin populations in the Atlantic Ocean, the Mediterranean Sea, and the Gulf of Mexico.
In the late 1990s, 18 common dolphins (Delphinus spp.) stranded on the California coast. Lab results revealed the first morbilliviral infections seen in cetaceans in the North Pacific Ocean.
Sea turtles
Researchers have identified fibropapillomas in green sea turtles. Fibropapillomas are abnormal lobed tumorous growths on the skin. These growths appear between the scales and scutes, on the eyes and eyelids, in the mouth and viscera, on the back of the neck, and on the axillary ("armpit") and inguinal regions of the flippers. Fibropapillomas ultimately can be life threatening to free-ranging sea turtles by obscuring their vision and thus affecting their ability to feed, by becoming large enough to impair normal swimming, by interfering with respiration, or by predisposing them to secondary infections.

A green sea turtle with tumorous growths on the skin called fibropapillomas.
Waterfowl and seabirds
Diseases of waterfowl and seabirds vary with habitat and food preferences.
Infectious diseases may spread through entire waterfowl and seabird populations resulting in mass die-offs. Migrating waterfowl spread disease further. Infections include viral hepatitis, Newcastle disease, tuberculosis, tetanus, and botulism.
Aspergillosis, a fungal infection transmitted by airborne spores, is a common disease of waterfowl and seabirds. Aspergillosis outbreaks are most likely caused by lowered resistance or environmental factors.

Marine mammals
Marine mammals may suffer from viral, bacterial, and fungal infections, including aspergillosis. In 1990, an outbreak of morbillivirus resulted in the deaths of at least 750 striped dolphins in the Mediterranean Sea.
Marine mammals may develop stomach ulcers, skin diseases, hepatitis, cancer, tuberculosis, and respiratory disorders such as pneumonia.
Exhaustion
Young marine mammals often are affected by storms and bad weather. Unable to nourish themselves, they lose blubber and become thin. The animals expend more energy to swim and to stay warm, causing them to lose more blubber. When an animal finally strands it is exhausted and emaciated.

Separation
During storms or in times of danger, a young animal may become separated from its mother before it is weaned and independent. Sometimes mothers die, leaving young behind. An orphaned or separated young animal that had been relying on its mothers for food and protection is not likely to survive on its own.
After a seal or sea lion is weaned, the mother and pup of many species separate. Some young seals and sea lions are unable to fend for themselves and don't survive this natural separation process.

Entanglement
Entanglement is an increasing threat to marine animals. Seabirds, marine mammals, sea turtles, fishes, and invertebrates can become trapped in nets, ropes, fishing line, or other lost or floating fishing gear. Discarded garbage such as plastic bags, sheets, and wrapping bands also entangle marine animals, making it difficult for them to breathe or take food. Without assistance, entanglement usually results in injury and death.

Ingestion of Non-Food Item
Marine animals can mistake plastic for food. Animals may mistake plastic pellets (the raw form of plastic after it has been manufactured from petrochemicals) for fish eggs, or plastic bags for jellyfish.
Any ingested foreign object can become lodged in an animal's throat or restrict an airway, causing the animal to suffocate or drown. Such objects can obstruct the gastrointestinal tract and cause gastric inflammation, nausea, and loss of appetite, which may result in starvation.
Fish-eating birds and mammals, or manatees grazing on seagrasses, may accidentally swallow fishing hooks. A fishing hook lodged in the throat or digestive tract may cause discomfort and make eating difficult. The hook may puncture the gastrointestinal tract, causing infection that can be fatal.
For example, an ingested fishing hook can tear a pelican's (Pelicanus spp.) pouch, which may lead to starvation as a tear could allow fish to escape before the pelican can swallow it. SeaWorld has treated numerous pelicans with pouch tears.

Traumatic Injuries
Some injuries are the result of the natural environment.
Territorial disputes during the mating season result in injuries to some male seals, sea lions, and walruses.
A marine mammal that survives an attack from a predator such as a shark is likely to come away with injuries ranging from mere scrapes to life-threatening gashes.

A sea lion with a large scar from a predator's bite.
Seabirds are sometimes injured during storms. Gusts can toss chicks from their nests, and strong winds and waves may thrash birds along rocky shorelines, sometimes resulting in concussions or fractured limbs.
Other injuries are related to human interaction.
Motorboats and other watercraft can wound manatees, sea turtles, and dolphins.
Birds are sometimes hit by cars.
Some sea turtles and pelicans have been found with head injuries that suggest blows to the head with blunt or sharp objects.
In spite of regulations to protect them, marine mammals are occasionally found with gunshot wounds, especially in areas where there are conflicts over food between marine mammals and fishermen.
In January 2011 researchers from NOAA spotted a very lethargic 250-pound green turtle in San Diego Bay. When the turtle arrived at SeaWorld San Diego the Rescue Team found that he was severely dehydrated, suffering from cuts on his flippers and tail, and a crack in his lower shell. X-rays revealed that Bruce had four shotgun pellets lodged in his neck. After several months of rehabilitation, Bruce was returned to the sea. Several months later, he unfortunately restranded due to entanglement in fishing line and the resulting infection from the entanglement wounds. He now lives at Turtle Reef at SeaWorld San Diego for long term care.
In 2012, a very large sea lion was rescued with what appeared to be a bite wound. The SeaWorld San Diego Rescue Team discovered that he had actually been shot in the face, resulting in the loss of his right eye and a severe infection. He was treated with of antibiotics and pain medication. After three months, he was returned to the sea. Three months later, he stranded again due to a severe infection from buckshot that was unable to be removed. Unfortunately, he did not survive.
Habitat Loss
Habitat is lost when natural homes of plants and animals are destroyed. This destruction occurs in different forms. Encroachment into sensitive habitats for human development, overharvesting of natural resources, and accidents such as oil spills. Animals forced out of their habitat may not be able to relocate or adapt to a new environment.
Toxins
Both natural toxins and human-made toxins can harm or kill animals.
Some substances (which may not be harmful in small quantities) are stored in an animal's body tissues after they are ingested. Prey animals that contain such toxins in their bodies pass the toxins on to animals higher in the food chain. Predatory fishes, marine mammals, and seabirds may accumulate high levels of toxins.
Some toxins can be accumulated in fishes and invertebrates without ill effects, but cause poisoning when those "toxic" animals are ingested by mammals or birds.
Some natural toxins originate in certain species of phytoplankton (tiny floating or drifting algae). In sufficient quantities, some phytoplankton toxins are harmful — even deadly — to mammals and birds. Natural toxins that have resulted in marine mammal and seabird deaths include ciguatoxin, brevitoxin, and domoic acid.
Domoic acid is a naturally occurring toxin produced during harmful algae blooms (red tides) by phytoplankton of the genus Pseudonitzchia. Sea lions and other marine mammals develop neurological problems and even die after consuming anchovies, sardines, and shellfish containing this biotoxin. Since the late 1990s, hundreds of sea lions have stranded due to domoic acid toxicosis.
Human-made toxins can also be found in the marine ecosystem. Industrial and agricultural compounds flow into waterways and make their way to the oceans. Some of these toxic compounds enter the marine food chain the same way as natural toxins. In sufficient quantities, some of these substances may harm marine animals.
Scientists are studying the effects of some of these contaminants to see how they affect marine animals. Studies have found that high levels of PCBs (polychlorinated biphenyls — one type of environmental contaminant) lowered reproductive success in laboratory animals, but a wide variance in sensitivity among mammals make generalization to marine mammals difficult. Another hypothesis is that chronic exposure to PCBs or similar compounds can suppress a marine mammal's immune system and make it more susceptible to disease. Research is ongoing.
Oil Spills
Oil production and transportation pose a threat to marine life.
Fouled with oil, sea otters and seabirds lose the insulative qualities of their fur or feathers and are susceptible to hypothermia. They are also likely to ingest the toxic oil.
SeaWorld is one of the few organizations with the expertise to treat multiple species of sea turtles at the same time. For example, when oil began to spill into the Gulf of Mexico in April 2010, SeaWorld Orlando set up a special treatment area. By the end of the year, 127 endangered or threatened green, loggerhead, and Kemp's ridley sea turtles received extensive care for oil related health problems. After recovery, 115 were returned to their native Gulf of Mexico waters.
In May of 2015, SeaWorld San Diego's team was called upon to assist with the rescue and rehabilitation of marine animals affected by the Refugio Oil Spill in Santa Barbara, California. Members of SeaWorld San Diego Oiled Wildlife Care Network (OWCN) Response Team cared for oiled marine mammals at the park's Oiled Wildlife Care Center and, in addition, members of the team were deployed to the spill zone to assist with recovery efforts.


Weather Changes
Unseasonably cold weather is problematic for sea turtles, which are cold-blooded reptiles with metabolism dependent on environmental temperature.
An El Niño event is a complex set of cyclic atmospheric changes, characterized by an unusually warm water current in the Eastern Pacific Ocean.
As water temperatures change plankton and fish populations shift, and marine mammals may find their food sources in decline.
Increased storm activity is another effect of an El Niño. Storms and other bad weather can make swimming, feeding, and keeping warm difficult, especially for a young marine mammal (especially seals and sea lions). Unable to feed, it loses blubber and becomes thin. When it finally strands, an animal is exhausted and emaciated.
SeaWorld San Diego rescued 449 seals and sea lions in 1998 and 472 seal and sea lions in 1983 — both years marked by severe El Niño conditions.
Some scientists believe the cause of the California sea lion 2013-2016 UME was related to El Niño conditions, leading to extremely high numbers of stranded, emaciated sea lions.
Mass strandings
Mass strandings of whales and dolphins are a natural phenomenon that is largely unexplained. In some cases, pods of healthy whales or dolphins become stranded in shallow areas when the tide goes out, but in most cases the stranded animals are ill.
One theory that has been used to explain mass strandings is that a pod of healthy animals may follow one or two ill animals to shore. Data recently gathered from mass-stranded animals suggests that this theory is likely flawed.
When rescuers and stranding experts started analyzing more blood and tissue samples from live animals at mass stranding events, they found that many of these pod members, some outwardly appearing healthy, also were ill.
SeaWorld Orlando has participated in many rescue efforts for cetaceans involved in mass strandings. Virtually all animals in these mass strandings were ill.

A group of dolphins stranded on the shoreline.
Unusual Mortality Events (UME)
As defined under the Marine Mammal Protection Act a UME is, "a stranding that is unexpected; involves a significant die-off of any marine mammal population; and demands immediate response."
Since 1991 there have be 62 formally recognized UMEs in the United States — the last 14 since 2010.
Causes for 32 of the 62 documented UMEs include: infections, biotoxins (domoic acid and brevetoxin), human interactions, and malnutrition.
In addition to mobilizing government wildlife officials, at times part of the response to an UME involves assistance from rescue and rehabilitation centers like those found at SeaWorld.
2013 Bottlenose dolphin UME in Florida
In January of 2013, the Hubbs-SeaWorld Research Institute started to notice an increase in bottlenose dolphin strandings in the Indian River Lagoon (IRL) area. This UME was issued in response to an elevated amount of bottlenose dolphin strandings in the northern and central IRL system in Brevard County.
From January through December 2013, 78 bottlenose dolphin strandings were documented. Necropsies showed the most significant factor in their deaths was starvation/emaciation.
The 600 to 800 bottlenose dolphins that live in the IRL area do not extend outside their territory to feed. Prey normally found in the IRL area may have shifted away or had been depleted due to large losses of sea grasses in the area.
2012-2013 Florida Manatee UME
From July 25, 2012 to June 14, 2013, the Florida Fish and Wildlife Conservation Commission documented more than 250 manatee deaths in Brevard County. The overall cause of these mortalities has yet to be determined.
2013-2016 California sea lion UME in California
An extremely high amount of malnourished and dehydrated California sea lion pups stranded along the central and southern California coastline, sending rescue centers like SeaWorld on high alert.
In a typical year, 299 California sea lions stranded in southern California. From January 1, 2013 to May 19, 2013 the number increased to 1,431.
In 2013, SeaWorld San Diego cared for 342 rescued sea lion pups during this event. Of these, 38 pups stranded more than once.
In 2015, SeaWorld San Diego cared for an unprecedented number of marine mammals as a result of the UME. The total number of rescued California sea lions reached 990.
In 2016, numbers began to fall and 403 California sea lions were rescued and cared for.
According to NOAA, the likely cause of the UME was a change in the availability of sea lion prey, especially sardines, a high value food source for nursing mothers and newly-weaned pups foraging on their own. The UME investigation is ongoing.

A group of rescued sea lions.